Stroke:间充质干细胞治疗中风,初步效果显著
时间:2016-06-10
A-
A+
一、华盛顿消息:
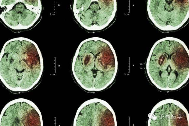
CT扫描一个入组病人的脑部
二、生物谷资讯:
斯坦福的研究员研究了干细胞(间充质干细胞,本院注)直接注入中风病人的脑中。他们本周四表示对于实验的结果感到震惊,因为其中一部分受试者的运动能力得到了恢复。
该研究只包含了18名病人,而且首要目的是评估实验的安全性而非有效性。实验的结果令神经科学领域的人们感到困惑因为这些结果与我们对于脑损伤的固有观点似乎违背-脑损伤往往是不可逆的。
这个研究结果发表在了期刊 Stroke,如果结果能够在更大规模的临床试验中证实,则可能会对我们理解一系列神经类疾病提供新的提示,比如脑创伤性损伤,脊髓损伤以及阿兹海默症。
这项研究涵盖了那些已经过了关键恢复期的病人-通常创伤产生后六个月后脑修复会进入平台期而不会再有显著的改善。通常在这一时间点以后治疗就会停止因为脑回路被认定已死无法再修复。研究中的每一个受试者都有脑最表层下的中风导致的脑损伤并且在移动四肢上有明显损伤。甚至有一些受试者在治疗前3~5年就有过中风。
这个一次性治疗包括外科大夫在脑壳上钻一个孔并将干细胞植入不同的损伤位点。这些干细胞是从成体捐献者的骨髓中获得。病人在整个手术过程中保持清醒并在当天返回家中。
受试者有微弱的副作用体验,比如短暂的头痛,恶心和呕吐。一名病人经历了液体的聚集需要使其流干,但这个问题得到了妥善解决。受试者在手术后1,6,12个月后通过脑成像和几种标准被评估了语言,视力,运动能力以及其他方面的日常功能。
Gary Steinberg,研究的首要作者并且是斯坦福神经外科的主任在采访中表示他对于过度夸大这个小规模研究结果的意义表示谨慎。但他和他的团队对于18名病人中有7人能力得到了显著改善而感到震惊。
Steinberg表示“改善的不只是一点点,如某个人无法动手指而现在能摇了。改善程度比这个要有意义的多。一个71岁的依赖于轮椅的病人能够重新行走了”,而Steinberg自己做了该临床试验中的大多数手术。
另一个病人,只有39岁,两年前经历了中风目前有行走和语言方面的困难。“她不希望嫁给她男朋友”“她对于自己下楼梯感到尴尬”他解释道。但在治疗后,Steinberg说到“她在行动能力上有明显改善并且说话能力明显提高,现在她已经结婚并怀孕。”
Steinberg说该研究并不支持注射的干细胞变成了神经元这个设想。相反,它暗示这些细胞促进了某些生化反应增强了脑修复能力。
“一个理论是这些细胞诱使成年脑变得幼稚化并很好的修复了”他解释道。
斯坦福的研究员已经开始了更大规模的随机双盲多中心实验,利用相同的实验步骤并且已经开始入组病人。他们的目标是156个人并且希望在两年内获得结果。
患有中风的患者在经过向大脑中注射干细胞治疗,能够明显地提高其讲话能力、身体强度以及行动力。其中一些患者甚至能够重新行走。
这一临床试验的成功意味着我们低估了大脑自愈的能力,也许有一天这种疗法能够使大脑重新恢复功能。
"一位71岁的老年女性在治疗开始前仅仅能够活动左手大拇指",该研究的首席研究员,来自斯坦福大学的神经科医生Gary Steinberg说道:"如今她能够行走以及将手举过头顶"。
这是第二次通过向脑部注射干细胞使得大脑恢复功能的临床试验。去年英国的一项相似的临床试验也获得了成功。
这次试验是由一家叫做"SanBio"的公司发起的。虽然该团队仅仅对18名患者进行了治疗,但这些患者经过治疗后病情全部发生了明显的改善,其中有7名患者改善幅度显著。
参与该试验的患者患中风时间从6个月到3年不等。在此之前,他们的病情一直处于停滞状态。
在治疗前后,研究者们分别检测了他们的活动能力,评分从1到100。他们发现,所有患者在经历了治疗后活动能力平均提高了11.4%。这意味着该疗法能够有效提高患者的生活质量。
那么它是怎么工作的呢?该疗法是通过从头部打洞的方式,向大脑负责运动的区域注射干细胞,这一区域在中风患者中受到了损伤。
对于具体的治疗机制,研究者们并不太清楚,但随着治疗的不断深入他们能够慢慢找到其中的线索。看上去这一技术似乎是能够将大脑恢复年轻。
注入的这部分干细胞叫做间充质干细胞,是采集于两名健康人的骨髓中。这些细胞经过改造,能够持续性表达Notch1蛋白,该蛋白主要负责婴儿期大脑的发育。每名患者在这一试验中分别被注入250万、500万以及1000万的细胞。
在大鼠试验中,作者发现这部分注入的细胞在体内的维持的时间不会超过一个月,但在此期间,这些细胞能够分泌生长因子,促进脑细胞的新连结形成以及组织的再生。
"我们之前认为患者的脑回路已经处于死亡状态,如今,我们需要重新考虑这个问题。我个人认为患者的脑回路仅仅是受到了抑制,我们的治疗手段能够中止这种抑制。这一疗法更像是将成年人的大脑重新变成婴儿的状态,因此能够得到较为理想的修复"。
相关结果发表在最近的 stroke 杂志上。
